TREATMENTS / PRISTINE AESTHETICS /

Pristine Smiles Gallery

All the pictures and smiles that you see here are results achieved by Dr. Suresh Nair, Nasser Shademan and our Pristine Aesthetic team. We hope the following pictures helps you understand what modern aesthetic dentistry can offer.

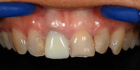
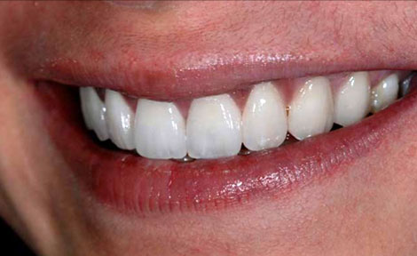
Smile One

It is natural for teeth to become darker, discoloured, worn and shorter with time. They can even gradually move out of position. The health, position, contour and colour of the gums can affect the appearance of a smile. They can make the teeth appear too short or square. Sometimes, too much gum is revealed when smiling.

Using high aesthetic veneers, these teeth have been brightened, reshaped and even repositioned to create a youthful, harmonious smile. All this is achieved while maintaining a natural, realistic appearance. A combination of laser dentistry and precise designing allows gums that are healthy, uniformly coloured , well positioned and contoured. This is further set off and highlighted with high aesthetic veneers.

Drag the slider to the right to reveal the result of the treatment

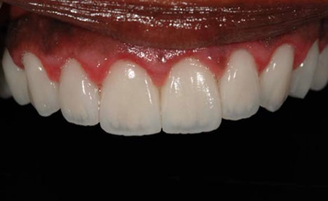
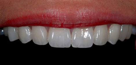
Smile Two

Coffee, tea and smoking are among those that lead to the discolouration of teeth. In addition the teeth are worn and damaged and there are spaces as well. High aesthetic veneers have been used to improve the colour, restore the length and close the gaps. The teeth have been reshaped and repositioned to create a harmonious, feminine, youthful smile.

Drag the slider to the right to reveal the result of the treatment

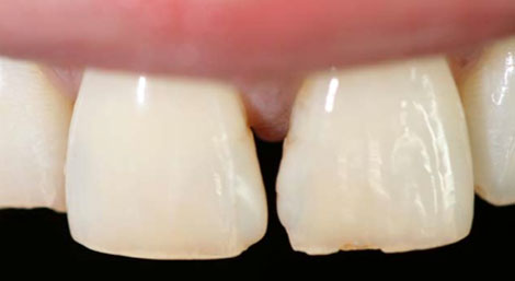
Smile Three

Teeth can discolour due to a variety of reasons. Wear, old fillings and rotated teeth have affected the harmony of this smile. High aesthetic veneers have been used to successfully improve the colour of the teeth. The length, shape and positioning of the teeth have been custom crafted to achieve a beautiful smile.

Drag the slider to the right to reveal the result of the treatment

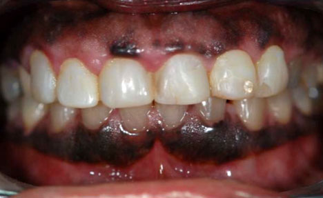
Smile Four

Even in youth, teeth can be arranged in a less than desirable position. The long, sharp canines makes this smile appear too masculine. Irregular gum levels affects the harmony of the smile and the old crowns on the centre teeth look too different from all the other natural teeth. Laser gum contouring was done to make the gum levels equal. High aesthetic crowns were used to replace the two old crowns and High Aesthetic veneers were used for the other teeth to achieve brighter, feminine, harmonious smile.

Drag the slider to the right to reveal the result of the treatment


If you need help deciding the right treatment or have some questions to ask, we are happy to help! Send us a quick message on WhatsApp today!

QUICK MESSAGE

AWARDS & ACCREDITATION